近年来,随着纳米医学和精准诊疗技术的飞速发展,甲状腺髓样癌(Medullary Thyroid Carcinoma, MTC)这一神经内分泌来源的恶性肿瘤,正迎来前所未有的治疗曙光。传统疗法如放射性碘治疗对MTC无效,而多激酶抑制剂等系统性药物虽有一定疗效,却常伴随显著副作用且难以根治。在此背景下,声动力疗法(Sonodynamic Therapy, SDT)凭借其非侵入性、深组织穿透能力及高度时空可控性,成为极具潜力的新型抗肿瘤策略。

MTC源自甲状腺C细胞,诊断时超过70%的患者已出现淋巴转移,约10%伴随远处转移,治疗难度高、复发率高,预后相对较差其治疗瓶颈主要包括:
传统放射性碘治疗无效;多激酶抑制剂疗效有限;肿瘤异质性造成药物递送效率低;缺乏特异性靶向途径。
在这一背景下,能够兼具精准靶向、可视化监测、可控治疗响应的新型疗法成为研究重点。
最新研究证明,以癌细胞膜包覆的仿生脂质纳米粒(MHP@LNP)具有同源靶向、免疫逃逸、可控声动力治疗功能,同时具备光声与超声双模态成像能力,为MTC的早诊、可视化监测及非侵入性治疗提供了全新的解决思路。
中新康明:赋能前沿纳米药物研发,提供MTC治疗关键LNP原料
作为国内领先的高端药用辅料与纳米递送系统解决方案提供商,中新康明(Sinokon Med)长期专注于脂质纳米粒(LNP)、纳米结构脂质载体(NLC)等先进递送平台的核心原料开发与定制化生产。针对上述MTC声动力治疗研究中所采用的关键组分,中新康明已全面布局并实现高纯度、高稳定性、符合GMP标准的原料供应:
二棕榈酰磷脂酰胆碱(DPPC):高相变温度磷脂,保障纳米粒结构稳定性;
二棕榈酰磷脂酰甘油(DPPG):赋予纳米粒负电荷,提升胶体稳定性;
DSPE-PEG2000:延长体内循环时间,减少网状内皮系统清除;
胆固醇(Cholesterol):调节膜流动性,增强包封效率;
血卟啉单甲醚(HMME):高活性声敏/光敏剂,支持SDT与光声成像;
全氟己烷(Perfluorohexane, PFH):优异的相变材料,用于超声响应与微泡生成。
此外,中新康明还可根据客户需求,提供定制化比例预混LNP处方组合,大幅缩短研发周期,加速从实验室到临床的转化进程。

技术优势:从原料到制剂的一站式CDMO平台
中新康明不仅提供高品质原料,更依托自主知识产权的LNP工艺平台,为科研机构与生物医药企业提供全流程CDMO服务,涵盖:
处方前研究:辅料筛选、溶解度/稳定性评估;
纳米制剂开发:薄膜水合法、微流控技术、高压均质等多路径工艺优化;
理化表征:粒径、Zeta电位、包封率、载药量、相变行为、体外释放等;
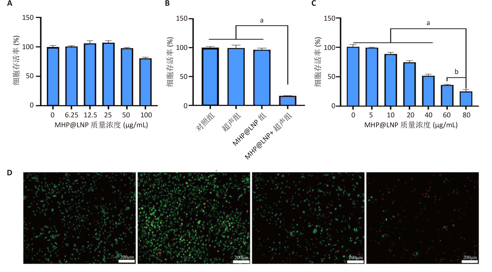
功能性验证支持:协助客户完成细胞摄取、靶向性、ROS检测、声动力疗效等关键实验;
GMP中试放大:具备符合NMPA/FDA要求的洁净车间,支持IND申报所需批次生产。
公司已建立超200种脂质与功能化聚合物库,并配备马尔文粒径仪、透射电镜、超声/光声成像模拟系统等先进设备,确保从毫克级筛选到公斤级放大的无缝衔接。

成功案例:助力多项肿瘤声动力与免疫治疗项目落地
中新康明已深度参与多个国家级重点研发计划及高校合作项目。例如,某985高校团队在开发用于胰腺癌声动力治疗的仿生纳米粒时,选用中新康明提供的DPPC/DPPG/DSPE-PEG2000/胆固醇/HMME/PFH全组分配方,在3个月内完成制剂优化,包封率达85%以上,并成功实现小鼠模型中的肿瘤完全消退。另一家创新药企则利用我司CDMO服务,快速推进其基于LNP的mRNA肿瘤疫苗项目进入Pre-IND阶段。
在甲状腺癌领域,中新康明正与多家三甲医院合作,探索LNP递送系统在难治性分化型甲状腺癌及MTC中的应用,包括联合免疫检查点抑制剂、靶向基因沉默等策略,展现出广阔前景。

综述:中新康明——您值得信赖的纳米药物合作伙伴
面对甲状腺髓样癌等难治性肿瘤的临床挑战,中新康明始终站在技术创新前沿,以高质量原料+专业化CDMO服务双轮驱动,赋能全球科研与产业界加速突破。我们不仅提供产品,更提供从概念验证到临床转化的全生命周期支持。
无论是高校实验室的早期探索,还是Biotech公司的管线推进,中新康明都能为您量身定制高效、合规、可放大的解决方案。未来,我们将继续深耕纳米医学领域,推动更多“诊疗一体化”智能纳米平台走向临床,为患者带来真正意义上的精准治疗希望。
返回